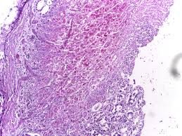
Ходоодны идэгдэлт үрэвсэл

Erosive gastritis (english)
Эрозивный гастрит (ру́сский)
Зохимжтой ба зохимжгүй бүтээгдэхүүн
Хэрэглэх, эс хэрэглэх бүтээгдэхүүнүүд

Erosive gastritis (english)
Эрозивный гастрит (ру́сский)
Хэрэглэх, эс хэрэглэх бүтээгдэхүүнүүд
Ийм тэмдэг нь эмчилгээний өндөр үр дүнтэй бөгөөд эрдэм шинжилгээний туршилт, судалгаагаар нотлогдсон болохыг илэрхийлнэ.
Ийм тэмдэг нь хүний биед сайн нөлөөтэй гэдэг нь судалгаагаар нотлогдсон. Гэхдээ бүхэл ургамлын хувьд авч үзвэл 3 одтой бүтээгдэхүүнийг арай гүйцэхгүй аж.
Ийм тэмдэг нь эмчилгээ, шим тэжээлийн эерэг үр дүнтэй болохыг илэрхийлнэ. Голдуу ардын уламжлалт практикт олон зуун жилийн турш өргөн хэрэглэгддэг туршлагатай. Туршилтын амьтан дээр судлагдаж сайн нь тогтоогдсон. Өчигдрийн ардын эмчилгээнд хэрэглэдэг байсан эмийн ургамал өнөөдөр шинжлэх ухаанаар нотлогдсон эмчилгээ болдог гэдгийг санаандаа авбал зохино.
Ийм тэмдэг нь тухайн бүтээгдэхүүнийг хэрэглэх үед, ялангуяа удаан хугацаагаар хэтрүүлэн хэрэглэх үед зарим тохиолдолд үүсэж болзошгүй гаж нөлөөг илэрийлнэ.
Ийм тэмдэг нь эмчээр оношлогдсон өвчин, зовуурийн үед тухайн бүтээгдэхүүнийг хэрэглэх нь зохимжгүй гэдгийг илэрхийлнэ.